ざわちんものまねメイクに思うこと!日置矯正歯科ブログ
こんにちは![]()
日置矯正歯科ブログ N子です
パソコンのXPサポート終了に伴い、N子はPCの交換によるデータ更新や
新しい機器の設置で大忙しだったためブログを書くことができませんでした![]()
という言い訳は担当さんには通じないか
。。。。。
びっくりするぐらいブログサボっちゃった![]()
でもその間に担当さん変わったから、ちょうど怒られなかった(ラッキー
)
って、そんなことを言っている場合ではないですね![]()
1ヶ月に1回は更新しないとねうんうん![]()
今回は昨日SMAP×SMAPをちょうど見ていたときに感じたこと
なんですけれども、口元ってめちゃくちゃ大事!!
ということが改めてわかりました。
なぜかというと、スマスマビストロスマップのゲストが
ものまねメイキストざわちん(AKB板野友美ものまねメイクで有名)だったんです![]()
めちゃくちゃ顔似てるーーーーーーと思っても、マスクをしているので、メイクでは
目元しか見えません。彼女本人も、いくらものまねメイクでも
上半分しか出せない(披露できない)と
認めていましたけれど、顔の下半分はメイクでは似せられないんですよね![]()
![]()
そこでマスクをとってもらうと、彼女本人は目元よりも鼻や口元に特徴(目立つ)の
ある顔立ちをしていました![]()
そこで私は
「やっぱり口元は大事。顔立ちというものは
メイクで何とかなるものじゃない」
と(前から知ってましたけど
)改めて確信するわけなのです![]()
みなさま、口元の印象は大切ですよ![]()
出っ歯でお口がつむれないと半開きでだらしがない印象になってしまいますし、
下の歯が前に出ている反対咬合(受け口)だとガッチリしたいかついような印象
になり、女性の方だと男性っぽく見えてしまいます![]()
すきっ歯もぼんやりして田舎っぽい印象ですし、
八重歯は日本以外では忌み嫌われます![]()
かつ、ガチャガチャの乱杭歯だとお口が不潔になってしまいます![]()
口元や歯並びは、造りの問題で、メイクではどうにもなりませんので矯正をして
すっきりクリーンな口元になりましょう
きれいに揃った歯は本当に美しいです。
やはり人間はシンメトリーなものを美しいと感じるのが本能ですからね![]()
特に成人矯正をされた方は変化が大きいです![]()
「もう口元を気にしなくていいんだ~
」と明るい表情になっていかれます![]()
リップメイクも楽しめますね![]()
あなたは口元にコンプレックスはありませんか?
唇から歯が飛び出したり、唇を閉じるのに意識しなくてはならないなどは
どうですか?
お口を隠して笑っていませんか?
こちらはカウンセリング時に「もうガタガタは直らないものだと思っていた
」
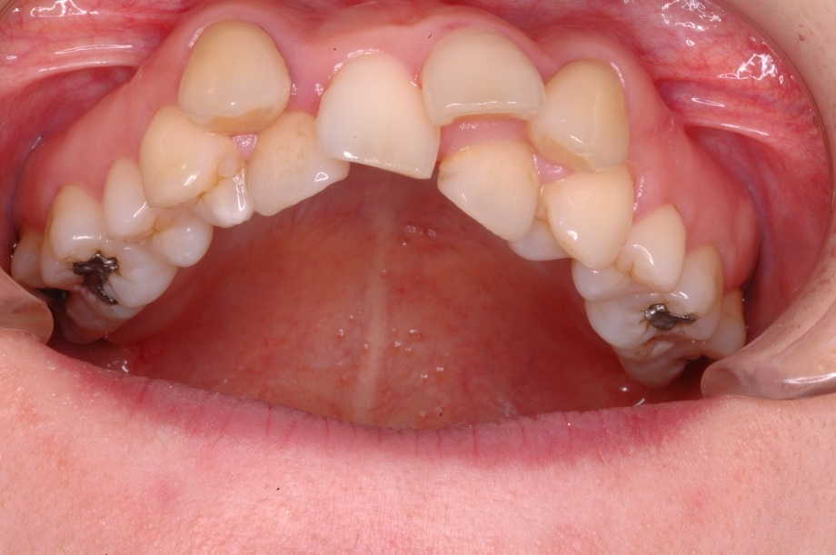
と話されていた、叢生(乱杭歯)患者様です![]()
顔面写真でも唇から歯が飛び出していました。
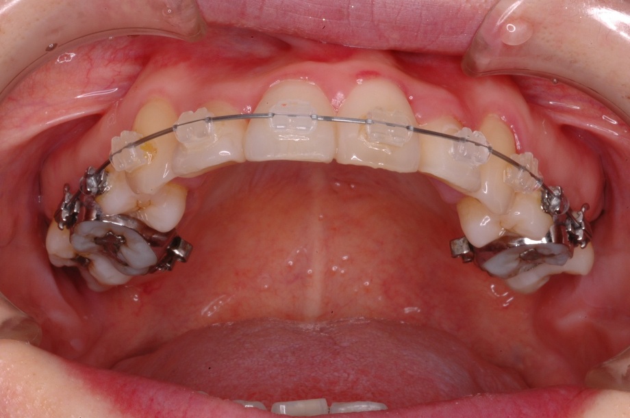
Before

After

きれいに治られて喜んでいただけました![]()
![]()
ぜひ症例ページをご覧ください。
あなたのタイプはどの歯並び??
http://www.hioki-kyouseishika.jp/case/
↑ 私は個人的には特に、出っ歯の方の顔立ち変化が大きいと感じます![]()
日置矯正歯科は岐阜診療室、羽島診療室とございまして
さまざまな地域から患者様にいらしていただいています。
岐阜市、羽島市、各務ヶ原市、名古屋市、山県市、一宮市、安八、海津などより
ご来院多数の
日置矯正歯科の
歯並び無料カウンセリング
をご希望の方は
ご予約制ですので、まずはメール
かお電話
にてご予約をお願いいたします![]()
小児矯正、成人矯正もおまかせください![]()
多数の症例がございますのであなたにぴったりの診断が可能です![]()
スタッフ一同お待ちしています![]()

HOME




